День: 02.06.2025

📌Uretrit –bu siydik yo’lining (uretraning) yallig’lanishi bilan tavsiflangan kasallik. 📌Kasallikning tabiati bo’yicha o’tkir va surunkali uretrit ajralib turadi. Uretritning har xil turlari mavjud, ular orasida: 📌gonoreya uretriti; 📌bakterial uretrit; 📌trixomonad uretriti; 📌virusli uretrit; 📌kandidamikotik uretrit. 📌Infektsion tabiati bo’yicha uretritning ikki guruhi…

✅Dermatit tashqi yoki ichki ta’sirotlar natijasida yuzaga keladigan teri yallig‘lanishidir. ✅Dermatitning belgilari ✅Dermatitning umumiy belgilari: ✅Qichishish; ✅Teridagi kichik pufakchalar; ✅Shishganlik; ✅Zararlangan sohada haroratning ko‘tarilishi; ✅Terining qizarishi. ✅Diagnostika ✅Dermatitni davolashni aniqlash uchun quyidagilar amalga oshiriladi: ✅Allergik tekshiruvlar; ✅Immunologik tekshiruvlar. https://t.me/sanepidqom_qarshitum

📌Konyuktivit kasalligida xavf 📌Konyunktivitga o‘z vaqtida va adekvat davo o‘tkazilsa, ko‘rish funksiyasi saqlangan holda butunlay sog‘ayish kuzatiladi. Biroq, shilliq pardaning takroriy zararlanishida ko‘rish yomonlashishi mumkin. 📌Konyuktivit kasalligini oldini olish choralari 📌Konyunktivitning oldini olish quyidagilarni o‘z ichiga oladi: 📌Bolalar va davolash…

Sanepidqoʻmita Qarshi tuman boʻlimi majlislar zalida Qarshi TTB qabul va tugʻruq boʻlimi kichik tibbiyot xodimlari uchun Gigiyenik oʻqitish va tarbiyalash kursi boʻyicha oʻquv seminari tashkil etildi. Bunda fuqarolarni: ✔️Gigiyenaga; ✔️Sogʻlom turmush tarziga oʻrgatish; ✔️Sogʻliqni saqlashga doir bilimlar,koʻnikmalar,malakalar; ✔️Kasalliklarning oldini olish…

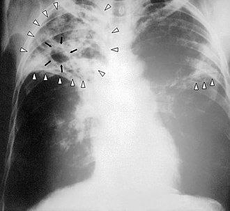
✔️Sil kasalligining belgilari ✔️Yo’tal. (Dastlab quruq, ammo tayoqchalar tarqalishi bilan namga aylanadi. U kamida 3 hafta davom etadi.) ✔️Past darajadagi isitma (normadan 1-2 daraja yuqori). ✔️Qonli yo’tal. ✔️Ko’krak qafasidagi og’riq. ✔️Qattiq terlash (ayniqsa kechasi). ✔️Jismoniy mashqlar paytida nafas qisilishi. ✔️Zaiflik,…

✅Ichak disbakteriozi (Disbiyozi) — bu ichakdagi foydali va zararli mikroorganizmlar o‘rtasidagi muvozanatning buzilishi bo‘lib, bu foydali bakteriyalarning yetishmasligiga olib keladi. ✅Sabablari ✅Disbakteriozning ko‘plab sabablari mavjud, jumladan: ✅oshqozon-ichak trakti kasalliklari (kolit, xolesistit, pankreatit, anatsid gastrit va boshqalar); ✅infeksiyalar va parazitlar; ✅OʼRVI; ✅allergiya;…

✅Stress bilan qanday kurashish kerak? -Stressli vaziyatlarda chalgʼish; -Sodir boʼlgan voqeaga nisbatan munosabatni qayta koʼrib chiqish; -Stressni keltirib chiqaradigan kuchli salbiy hissiyotlarni, fikrlarni va undan kelib chiqadigan energiyani kamaytirish uchun sport bilan shugʼullanish, tozalash, ovqatlar va shirinliklar pishirish, futbol, voleybol,…

✅Shamollash – (OʼRVI — o’tkir respiratorli virusli infeksiya yoki O’RK — o’tkir respirator kasallik) — havo tomchilari orqali yuqadigan o’tkir respirator virusli infeksiyadir (o’tkir respirator kasallik). ✅Kasallik belgilari ✅Kasallikning belgilari quyidagicha: ✅burun va tomoq boʼshligida yoqimsiz tuyg’ular; ✅umumiy holatning yomonligi;…

✔️Migren nevrologik kasallik bo‘lib, ko‘pincha boshning bir tomonida kuchli bosh og‘rig‘iga sabab bo‘ladi. Bo‘yin migrenlari bo‘yin bo‘g‘imlarining yallig‘lanishi tufayli yuzaga keladi. ✔️Sabablari ✔️Migren sabablari to‘liq o‘rganilmagan, ammo bir nechta farazlar mavjud: ✔️Arteriyalar torayishi va bosh miya qon bilan ta’minlanishining buzilishi; ✔️Tomirlarning…

✅1-iyun – Xalqaro bolalarni himoya qilish kuni ✅Har yili 1-iyun kuni butun dunyoda Xalqaro bolalarni himoya qilish kuni keng nishonlanadi. Bu kunning asosiy maqsadi – bolalarning huquqlarini himoya qilish, ularning sog‘lom va baxtli o‘sishini ta’minlash, shuningdek, jamiyatda bolalarga e’tibor va…