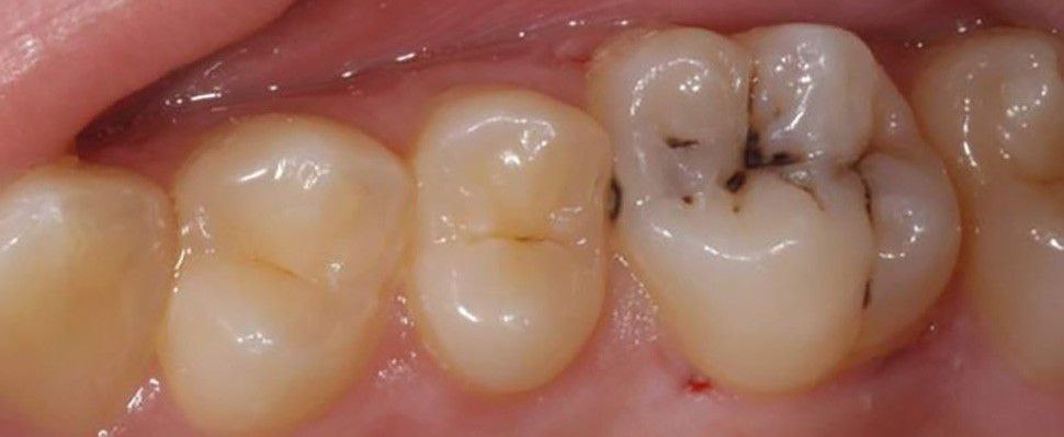
📌Kariyes stomatologik kasallik bo‘lib, tish to‘qimalarida nuqsonlar paydo bo‘lishi bilan namoyon bo‘ladi. O‘z vaqtida davolanmasa, u tishlarning yemirilishiga olib kelishi mumkin.
📌Kariyes quyidagicha bo‘lishi mumkin:
📌infektsion (patogen mikroorganizmlar qo‘zg‘atgan);
📌distrofik (tish to‘qimalarida almashinuv jarayonlarining buzilishi natijasi).
📌Kariyes belgilari
📌Kariyesning umumiy belgilari:
📌Ovqatlanish paytida og‘riq;
📌Bosishda og‘riq;
📌Og’izdan yoqimsiz hid;
📌Tishlarning yuqori sezgirligi;
📌Tish rangining qorayishi.
https://t.me/sanepidqom_qarshitum