Месяц: Март 2025

🎥»Zararli va xavfli mehnat sharoitida ishlayotgan xodimlarning salomatligini qanday himoya qilish kerak ?» Sanepidqoʻm Qarshi tumani boʻlimi Axborot xizmati https://t.me/sanepidqom_qarshitum

☘️Nima uchun ko’katlarni yuvib iste’mol qilish kerak va yuvish ketma-ketligi qanday? 🍀Ko’katlar – vitaminlar, minerallar va antioksidantlarga boy bo’lgan, sog’lom ovqatlanishning ajralmas qismidir. Biroq, ularni to’g’ri yuvmasdan iste’mol qilish, sog’lig’imizga jiddiy zarar yetkazishi mumkin. ☘️Nima uchun ko’katlarni yuvish kerak? 🍀Ko’katlarni…

❗️Yodlanmagan tuzning inson organizmiga salbiy ta’sirlari. 📌Osh tuzi har bir uyda mavjud bo’lgan eng keng tarqalgan mahsulotlardan biri bo’lib, taomlarga ta’m berishda muhim rol o’ynaydi. Biroq, yodlanmagan tuzni iste’mol qilish inson organizmiga jiddiy ta’sir ko’rsatishi mumkin. Yod — bu qalqonsimon…

🎥Qishloq xoʻjaligida zararli ximikatlarning ishlatilishi va uning salbiy oqibatlari toʻgʻrisida batafsil Sanepidqoʻmita Qarshi tumani boʻlimi tomonidan tayyorlangan videorolik orqali maʼlumotga ega boʻlishingiz mumkin. Sanepidqoʻmita Qarshi tumani boʻlimi Axborot xizmati https://t.me/sanepidqom_qarshitum

#bilib oling! 📌Sumalak – bahorning shifobaxsh taomi,uning foydalari haqida bilasizmi? 📌Sumalak nima? 📌Sumalak – unib chiqqan bug‘doy donlaridan tayyorlanadigan, Markaziy Osiyo xalqlari orasida Navro‘z bayramining asosiy taomlaridan biri hisoblanadi. Uning tayyorlanish jarayoni uzoq va mashaqqatli bo‘lib, ko‘p vaqt talab etadi.…

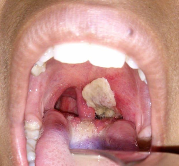
❓Difteriya qanday kasallik?Uning belgilari va asoratlari qanday? 📌Difteriya (yun. diptherien — parda, et), boʻgʻma — asosan hiqildoq, tomoq shilliq pardalarining yalligʻlanishi va aʼzolarning zararlanishi bilan kechadigan oʻtkir infeksion kasallik. 📌Difteriya kasalligining belgilari: 🔶Siydik chiqarishda og‘riq; 🔶Yiringli ajralmalar; 🔶Nafas olishning qiyinligi; 🔶Intensiv…

❓O’tkir yuqumli ichak kasalliklarini oldini olish uchun qanday chora-tadbirlarga rioya qilish zarur? ✔️Shaxsiy gigiyena: 🙌🏻Qo’llarni ovqat tayyorlashdan oldin, ovqatlanishdan oldin va hojatxonadan keyin sovun va suv bilan yaxshilab yuvish. ✔️Oziq-ovqat xavfsizligi: ❕Oziq-ovqat mahsulotlarini toza joyda tayyorlash va saqlash. ❕Yaroqlilik muddati…

🖇️Avval yuragingga mo’ralaydi u, So’ngra kurtaklarga o’rgatadi so’z. Zaminning ko’zidan qochadi uyqu, Demak, bahor keldi. Kelmoqda Navro’z! ☘️Sanepidqoʻmita Qarshi tumani boʻlimi boshligʻi I.B.Mashtinov yurtimizning ajoyib bayramlaridan biri boʻlgan «Navro’z» ayyomi bilan barcha xodimlarni chin dildan tabrikladilar. «Navro’z — yangilanish, yasharish…

Sanepidqoʻmita Qarshi tumani boʻlimi Epidemiologiya va immunofropilaktika boʻlimi epidemiolog vrachi M.Zaripova tomonidan SSVning 310-sonli buyrugʻi asosida Qarshi TTBga qarashli Oʻzbekiston mustaqilligi OShP xodimlari oʻrtasida «Oʻta xavfli va karantin infeksiyalari» boʻyicha oʻquv seminari tashkil etildi. Seminar davomida Oʻta xavfli va karantin…

🎥Oʻzbekiston Respublikasi Prezidentining 2022-yil 16-maydagi 243-sonli «Ayrim dolzarb virusli infeksiyalar tarqalishiga qarshi kurashish chora-tadbirlarini takomillashtirish toʻgʻrisida»gi qarori ijrosi yuzasidan Sanepidqoʻmita Qarshi tumani boʻlimi tomonidan tayyorlangan videorolik. Sanepidqoʻmita Qarshi tumani boʻlimi Axborot xizmati https://t.me/sanepidqom_qarshitum